
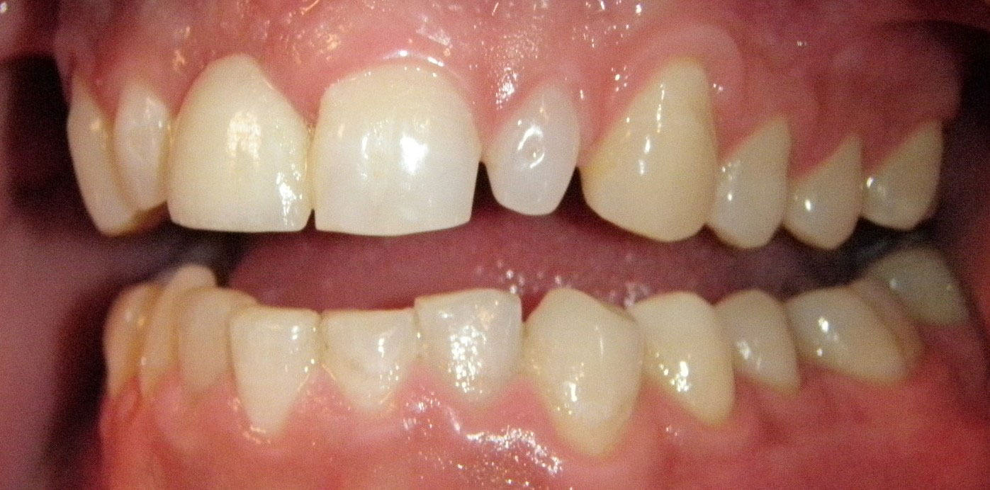
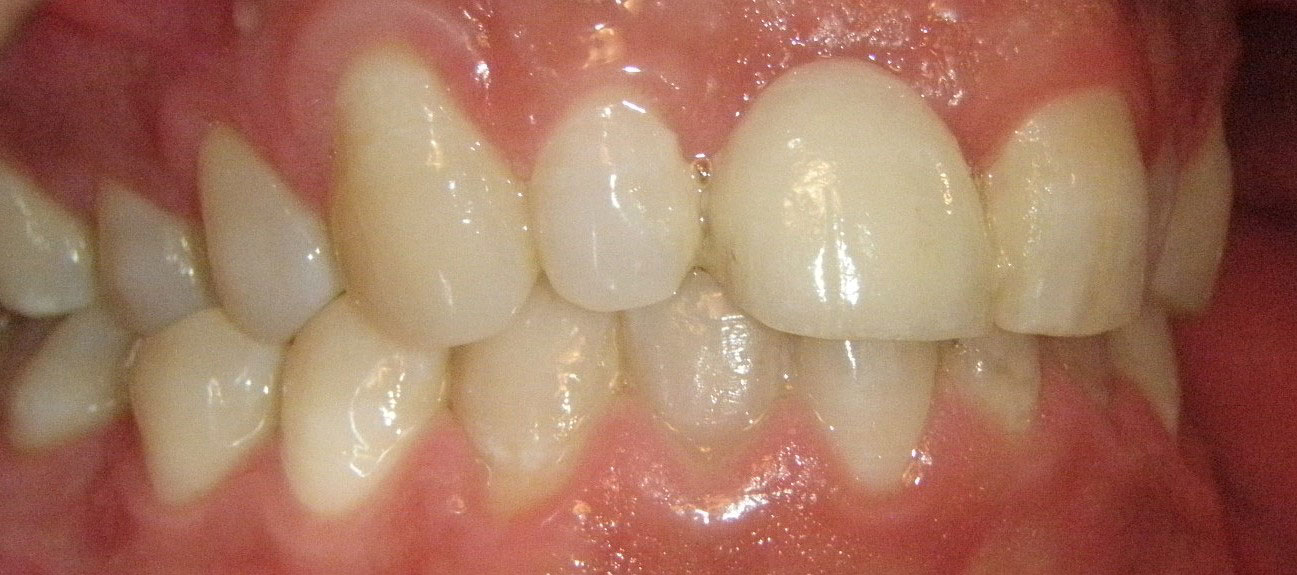
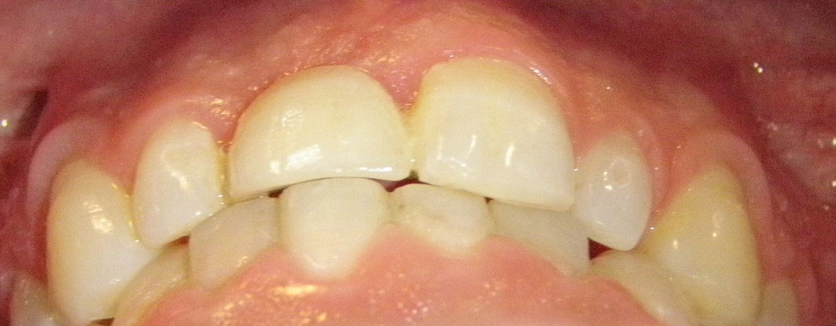
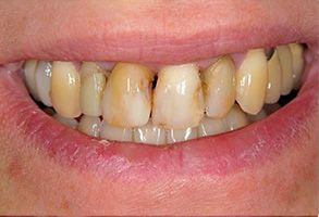
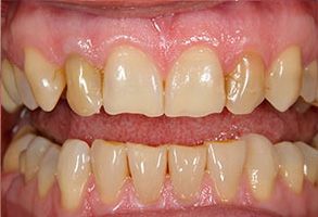
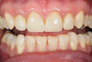
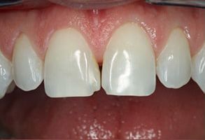
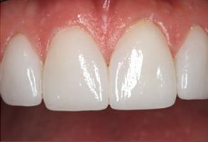
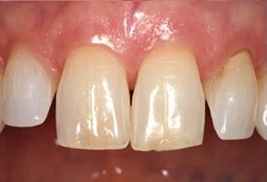
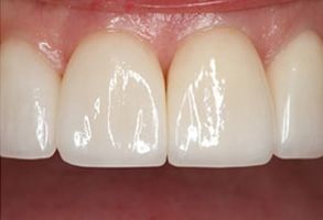
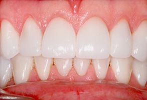
Patient previously had #8 missing for many years. Patient has a removable flipper partial replacing #8 in place in the before photos. #7 was small in size and #10 was a peg lateral and was rotated. Dr Kirby made the patient a 3 unit zirconia bridge from #7-9 and a zirconia crown on #10 creating the ideal size shape and color for the patients smile.

















Email: